Начало / Услуги / Бруксизъм

Бруксизмът е състояние, при което човек несъзнателно стиска или скърца със зъби.
Най-често това се случва по време на сън (нощен бруксизъм), но може да се проявява и през деня, особено при стрес или напрежение.

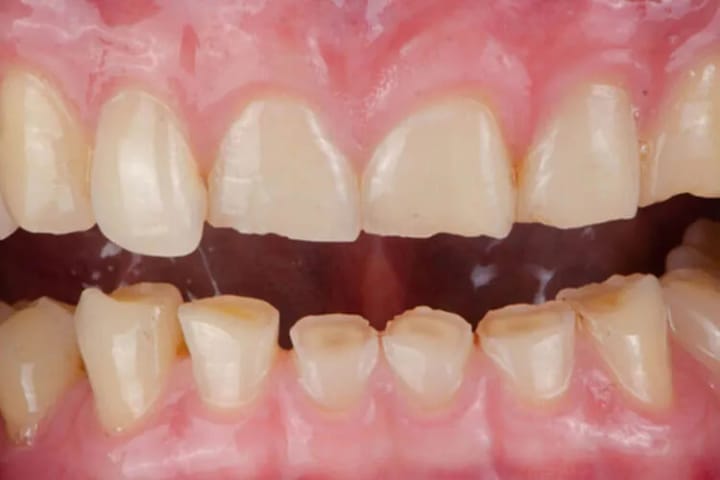
износени зъби с бруксизъм

Основните причини

Те включват стрес, тревожност, проблеми със захапката или нарушения на съня. Симптомите могат да бъдат износване на зъбите, болка в челюстта, главоболие, чувствителност на зъбите и напрежение в лицевите мускули.

Ако не се лекува, бруксизмът може да доведе до сериозни увреждания на зъбите и проблеми с челюстната става. Лечението обикновено включва използване на специална шина за зъби, техники за намаляване на стреса и консултация със стоматолог.

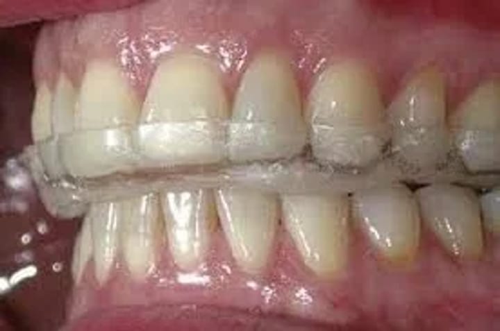
Шината за бруксизъм

Шината за бруксизъм

Това е специален прозрачен протектор, който се поставя върху зъбите, най-често по време на сън. Тя е изработена индивидуално от стоматолог и има за цел да предпази зъбите от изтриване и напукване при стискане или скърцане.

Освен че защитава зъбите, шината намалява напрежението в челюстта и облекчава болката в мускулите и ставата. Тя не лекува причината за бруксизма, но предотвратява уврежданията и облекчава симптомите.