Почистването на зъбен камък е рутинна стоматологична процедура, която помага да запазите зъбите и венците си здрави.
Какво е зъбен камък?
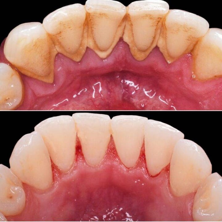
Зъбният камък е втвърдена зъбна плака.
Плаката е мек налеп от бактерии, който се образува всеки ден по зъбите. Ако не се
почиства добре с четка и конец, тя се втвърдява и се превръща в зъбен камък.
Зъбният камък:
• не може да се премахне с обикновено миене
• дразни венците
• причинява кървене, възпаление и лош дъх
• може да доведе до пародонтит (разклащане на зъбите)
Как протича почистването?
Процедурата се извършва от стоматолог или дентален хигиенист и обикновено трае 20–40 минути.
-
Ултразвуково почистване
Използва се специален уред, който вибрира с висока честота, разбива зъбния камък и охлажда и измива с водна струя
-
Ръчно почистване
При нужда лекарят използва фини инструменти, за да премахне остатъците от камък.
-
Полиране
Зъбите се полират със специална паста, което премахва повърхностни оцветявания , прави зъбите по-гладки и затруднява задържането на нова плака
Въпроси относно премахването на зъбен камък
-
В повечето случаи – не.
Ако има възпалени венци или натрупан много камък, може да има лек дискомфорт. При по-чувствителни пациенти може да се използва локална упойка. -
Обикновено се препоръчва:
• на всеки 6 месеца
При пациенти с пародонтални проблеми – по-често, според препоръката на стоматолога. -
• Лека чувствителност за 1–2 дни
• По-гладки и по-чисти зъби
• По-малко кървене от венците след няколко дни -
Добрата орална хигиена след това е много важна:
• миене 2 пъти дневно
• конец или интердентални четки
• редовни профилактични прегледи