Начало / Услуги / Естетична дентална медицина / Бондинг

Бърза и естетична трансформация на усмивката

Снимка на композитните фасети

Композитните фасети (бондинг) са съвременно и щадящо решение в естетичната дентална медицина, което позволява бързо подобряване на формата, цвета и цялостния вид на зъбите.

Те представляват тънък слой фотополимерен композитен материал, който се нанася директно върху предната повърхност на зъба и се моделира прецизно от лекаря.

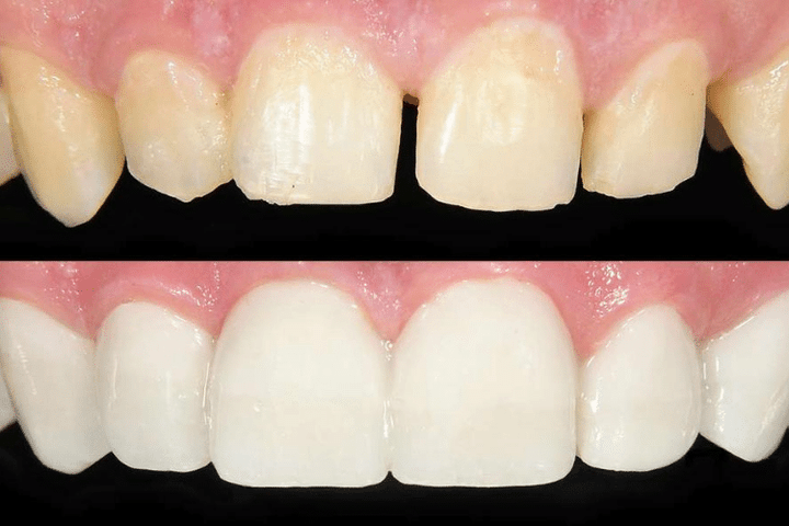
Снимка на преди и след композитните фасети

Кога са подходящи композитните фасети?

Композитните фасети са отличен избор при:

Потъмнели или оцветени зъби
Малки отчупвания и пукнатини
Неравности във формата
Леки разстояния между зъбите
Незначителни ортодонтски несъвършенства

Те осигуряват естествена визия и могат значително да подобрят усмивката само в рамките на едно посещение.

Предимства на композитните фасети

За разлика от керамичните фасети, композитните се изработват директно в устата, което позволява по-голям контрол върху формата и цвета още по време на процедурата.

  • Минимално изпиляване на зъба

  • Бърза процедура – често в едно посещение

  • По-достъпна цена в сравнение с керамичните фасети

  • Лесна корекция и поправка при нужда

  • Естествен естетичен резултат

Често задавани въпроси за композитните фасети

Процедурата започва с консултация и обсъждане на желаните резултати. След минимална подготовка на зъбната повърхност се нанася композитният материал на слоеве, оформя се индивидуално и се полимеризира със специална лампа. Накрая фасетите се полират до постигане на естествен блясък.

При добра орална хигиена и редовни профилактични прегледи композитните фасети могат да служат между 4 и 7 години. Важно е да се избягва прекомерно натоварване (например отваряне на предмети със зъби) и силно оцветяващи храни и напитки.