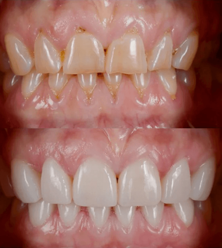
Какво представляват керамичните фасети?
Керамичните фасети са тънки, фино изработени „плочки“ от специална керамика, които се залепват върху предната повърхност на зъбите.
Те подобряват формата, цвета и цялостния вид на усмивката.
Може да си ги представите като много тънка обвивка, която покрива видимата част на зъба.
В какви случаи се поставят?
Керамичните фасети са подходящи при:
• Потъмнели или трайно оцветени зъби
• Счупени или изтрити ръбове
• Разстояния между зъбите
• Неправилна форма или леко криви зъби
• Неравномерна големина на зъбите
Как протича процедурата?
Обикновено лечението минава през няколко етапа:
-
Преглед и планиране
Стоматологът преглежда зъбите, обсъждате желания резултат и се изготвя план на лечение.
-
Подготовка на зъбите
От предната повърхност на зъба се отнема много тънък слой (обикновено 0.3–0.7 мм), за да има място за фасетата.
-
Вземане на отпечатък
Изпраща се в зъботехническа лаборатория, където фасетите се изработват индивидуално.
-
Поставяне
Готовите фасети се пробват, след което се залепват трайно със специален адхезивен цимент.
Въпроси относно поставянето на керамичните фасети
-
Процедурата обикновено не е болезнена.
При необходимост се поставя местна упойка -
При добра грижа керамичните фасети могат да издържат 10–15 години или повече.
Те са:
• устойчиви на оцветяване
• много естествени на вид
• биосъвместими -
Грижата е същата както за естествени зъби:
• миене 2 пъти дневно
• конец или интердентални четки
• редовни профилактични прегледи -
Важно е да се избягва:
• гризане на твърди предмети
• отваряне на опаковки със зъби
• силно стискане и скърцане (при нужда се изработва нощна шина)